胡迪医学 Hudi Medical Science

胡迪医学

新冠病毒肺炎CT特征

原创 胡迪医学 健瑞宝 / 浏览量:8274 / 发布时间:2020-02-28

胡迪主任,今天介绍

新型冠状病毒肺炎的肺部CT特征,

帮助大家了解这个传播力强

并且有很强致病力的病毒。


在开始之前,胡迪主任

向战斗在抗击疫情前线的

每一位医护人员

至于最崇高的敬意和诚挚的感谢,

因为有你们大无畏的牺牲精神,才有了

我们安宁的社区和和谐的工作、学习环境。

01-1.webp


新型冠状病毒传播、致病的两个病例


从2019年12月开始,

武汉出现不明原因呼吸道传染病,

逐渐成为每天的头版头条,

人们的关注点不再是

公众人物的花边新闻了。


世界卫生组织将新型冠状病毒

取名为COVID-19。CO代表冠状,

VI代表病毒, D代表疾病,19代表2019年。


COVID-19和SARS是一个家族的病毒,

大家对2003年的SARS还记忆犹新,

严重急性呼吸综合症

导致全球 8422人患病,919死亡。
(数据来自互联网报道)


下面例举2个新冠病毒导致的肺炎病例,

病例资料来自《Radiology》杂志。

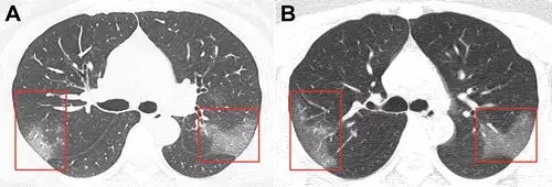
病例1,33岁女性,在武汉工作,

今年1月份回到兰州后

第二天开始发热,咳嗽,

5天后,她去医院检查,

她咽喉部分泌物中发现新冠病毒核酸,

肺部CT扫描(见下图A)

两侧肺上叶肺段呈斑片状毛玻璃样显影。

医生给她用了很多药物,

甚至用上了干扰素,

3天后,再次CT检查发现,

两肺的毛玻璃显影更大了(图片B),

显示治疗效果不好,病情加重。


01-2.webp

图片来自《Radiology》杂志

来自Internet图片搜索


病例2,41岁女性,去了一趟武汉,

回来后,开始发热咳嗽,

4天后,她感觉呼吸困难,

去医院X线胸部拍片,检验血液,

都没有发现有啥异常。

但是CT扫描发现

两侧肺周边出现多处斑片状毛玻璃样显影。


01-3.webp

图片来自《Radiology》杂志

来自Internet图片搜索


采用CT三维成像技术,

暴露在人们裸眼眼前,

到处是斑片状磨玻璃影(见下图)。

01-4.webp

图片来自Radiology

来自Internet图片搜索

临床病例的特征:

  1. 都能追溯到与武汉疫情接触史

  2. 潜伏期比较短,1-14天,有的发病急;

  3. 起病时发热,干咳,气急,气短,呼吸困难,乏力,头晕;

  4. 起病早期一般低白细胞血症,C反应蛋白升高;

  5. CT见外周肺实质性炎症,以毛细支气管和肺泡及其间质炎症为主;

  6. 重症患者,低氧血症,代谢性酸中毒,呼吸衰竭,凝血障碍;

  7. 出现急性呼吸窘迫综合征(ARDS)的新冠肺炎患者,病死率接近50%,如果ARDS达到中重度,病死率更是高达70% (信息来自武汉中心医院重症医学科主任喻莉在Medrxiv报道),大部分死于多器官衰减。


声明:本文系健瑞宝医疗整理创作,如需转载请取得许可,转载时注明出处。本文属医疗技术讲座性质,不应被视为任何医疗建议或治疗方案,如您需要,请咨询执业医师。刊载上述内容,“胡迪医学”尊重信息出处的原意,对文中陈述、观点和判断保持中立,不对所包含内容的准确性、可靠性或完整性提供任何明示或暗示的保证。如果您认为文章内容或者来源标注与事实不符,请告诉我们,我们将与您积极协商解决。谢谢大家的关注"胡迪医学"